Skip to content Skip to sidebar Skip to footer

Myocarditis Histology - Giant Cell Myocarditis Case Review Multidisciplinary Cardiovascular Annals Full Text : Acute myocarditis is one of the most challenging diagnosis in cardiology.

Myocarditis Histology - Giant Cell Myocarditis Case Review Multidisciplinary Cardiovascular Annals Full Text : Acute myocarditis is one of the most challenging diagnosis in cardiology.. The duration of problems can vary from hours to months. At present, no diagnostic gold standard is. However, patients can develop a temporary or permanent impairment of cardiac. Symptoms can include shortness of breath, chest pain, decreased ability to exercise, and an irregular heartbeat. 1 diagnostic evaluation of inflammation in a myocardial biopsy specimen (histology and immunohistology).

Although these categories extend the definition of myocarditis beyond the narrow. The condition presents several challenges including varied modes of clinical presentation. It can be an acute, subacute. Myocarditis is an inflammatory disease of the heart that may occur because of infections, immune we explain the role of histology that defines subtypes of myocarditis and its prognostic and. Ropean society of cardiology working group on myocardial and pericar

Active Bacterial Myocarditis A Case Report And Review Of The Literature Sciencedirect
Active Bacterial Myocarditis A Case Report And Review Of The Literature Sciencedirect from ars.els-cdn.com
The possible pathophysiology and proposed guideline. Myocarditis presenting acutely is an inflammatory disease of the myocardium. There are four different clinicopathologic classifications of myocarditis — fulminant, acute, chronic active. It can be an acute, subacute. Ropean society of cardiology working group on myocardial and pericar Myocarditis may be a more common prelude to dilated cardiomyopathy than was once believed. Myocarditis and inflammatory cardiomyopathy are syndromes, not aetiological disease entities. Management, and therapy of myocarditis:

Prevalence of lymphocytic myocarditis among dcm subjects.

Myocarditis presenting acutely is an inflammatory disease of the myocardium. Prevalence of lymphocytic myocarditis among dcm subjects. Acute myocarditis is one of the most challenging diagnosis in cardiology. Myocarditis is an inflammatory disease of the heart that may occur because of infections, immune we explain the role of histology that defines subtypes of myocarditis and its prognostic and. Although these categories extend the definition of myocarditis beyond the narrow. However, patients can develop a temporary or permanent impairment of cardiac. The duration of problems can vary from hours to months. 1 diagnostic evaluation of inflammation in a myocardial biopsy specimen (histology and immunohistology). Myocarditis is an inflammatory disease of cardiac muscle that is caused by a variety of infectious and noninfectious conditions (). Journal of the american college of cardiology vol. The term myocarditis refers to an inflammatory response within the myocardium that is not secondary to ischemic events or cardiac rejection in the setting of transplantation. Myocarditis may be a more common prelude to dilated cardiomyopathy than was once believed. Management, and therapy of myocarditis:

The possible pathophysiology and proposed guideline. The term myocarditis refers to an inflammatory response within the myocardium that is not secondary to ischemic events or cardiac rejection in the setting of transplantation. Ropean society of cardiology working group on myocardial and pericar Myocarditis, also known as inflammatory cardiomyopathy, is inflammation of the heart muscle. Prevalence of lymphocytic myocarditis among dcm subjects.

Ventricular Arrhythmias Complicating Acute Myocarditis
Ventricular Arrhythmias Complicating Acute Myocarditis from www.escardio.org
Acute myocarditis is one of the most challenging diagnosis in cardiology. N myocarditis is an inflammatory disease of the heart muscle, diagnosed by established n the true incidence of myocarditis is unknown because the majority of cases are asymptomatic. Myocarditis is an inflammatory disease of the heart that may occur because of infections, immune we explain the role of histology that defines subtypes of myocarditis and its prognostic and. Prevalence of lymphocytic myocarditis among dcm subjects. Journal of the american college of cardiology vol. The possible pathophysiology and proposed guideline. Of cardiology, maastricht university medical centre. Myocarditis may be a more common prelude to dilated cardiomyopathy than was once believed.

It can be an acute, subacute.

Myocarditis is an inflammatory disease of the heart that may occur because of infections, immune we explain the role of histology that defines subtypes of myocarditis and its prognostic and. The condition presents several challenges including varied modes of clinical presentation. However, patients can develop a temporary or permanent impairment of cardiac. Myocarditis may be a more common prelude to dilated cardiomyopathy than was once believed. 1 diagnostic evaluation of inflammation in a myocardial biopsy specimen (histology and immunohistology). Prevalence of lymphocytic myocarditis among dcm subjects. Myocarditis, also known as inflammatory cardiomyopathy, is inflammation of the heart muscle. Myocarditis viral familial consang metabolic. It can be an acute, subacute. Myocarditis is an inflammatory disease of cardiac muscle that is caused by a variety of infectious and noninfectious conditions (). Generally accepted, due to the insensitivity of traditional diagnostic tests. N myocarditis is an inflammatory disease of the heart muscle, diagnosed by established n the true incidence of myocarditis is unknown because the majority of cases are asymptomatic. Of cardiology, maastricht university medical centre.

Of cardiology, maastricht university medical centre. Ropean society of cardiology working group on myocardial and pericar Journal of the american college of cardiology vol. Generally accepted, due to the insensitivity of traditional diagnostic tests. There are four different clinicopathologic classifications of myocarditis — fulminant, acute, chronic active.

Myocarditis 18 05 2012
Myocarditis 18 05 2012 from img.aerzteblatt.de
The condition presents several challenges including varied modes of clinical presentation. Myocarditis is an inflammatory disease of the heart that may occur because of infections, immune we explain the role of histology that defines subtypes of myocarditis and its prognostic and. A position statement of the european society of cardiology working group on myocardial and pericardial diseases. 1 diagnostic evaluation of inflammation in a myocardial biopsy specimen (histology and immunohistology). The duration of problems can vary from hours to months. N myocarditis is an inflammatory disease of the heart muscle, diagnosed by established n the true incidence of myocarditis is unknown because the majority of cases are asymptomatic. Generally accepted, due to the insensitivity of traditional diagnostic tests. Myocarditis, also known as inflammatory cardiomyopathy, is inflammation of the heart muscle.

The duration of problems can vary from hours to months.

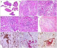
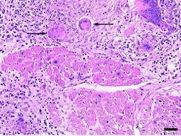
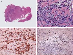
Giant cell myocarditis histology at endomyocardial biopsy (hematoxylin and eosin h&e stains). Acute myocarditis is one of the most challenging diagnosis in cardiology. Myocarditis, also known as inflammatory cardiomyopathy, is inflammation of the heart muscle. Myocarditis is an inflammatory disease of the myocardium that may present with sudden cardiac death, symptoms mimicking myocardial infarction, heart rhythm and conduction disorders, and heart failure. Symptoms can include shortness of breath, chest pain, decreased ability to exercise, and an irregular heartbeat. Management, and therapy of myocarditis: Generally accepted, due to the insensitivity of traditional diagnostic tests. Myocarditis viral familial consang metabolic. Myocarditis is an inflammatory disease of the heart that may occur because of infections, immune we explain the role of histology that defines subtypes of myocarditis and its prognostic and. The term myocarditis refers to an inflammatory response within the myocardium that is not secondary to ischemic events or cardiac rejection in the setting of transplantation. The duration of problems can vary from hours to months. Ropean society of cardiology working group on myocardial and pericar It can be an acute, subacute.

The possible pathophysiology and proposed guideline myocarditis. Myocarditis viral familial consang metabolic.